40代男性「歯を白くしたい」オフィスホワイトニングで白くした症例
|
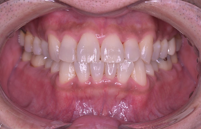
治療前
![]() |
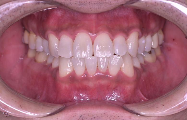
治療後
![]() |
|
年齢性別 |
42歳、男性 |
|
相談内容 |
歯を白くしたいとのことで来院されました。以前他院にてオフィスホワイトニングを3回行ったが、あまり白くならなかったとお悩みでした。また、歯の色の差も気になっているとのことでした。 |
|
カウンセリング・診断結果 |
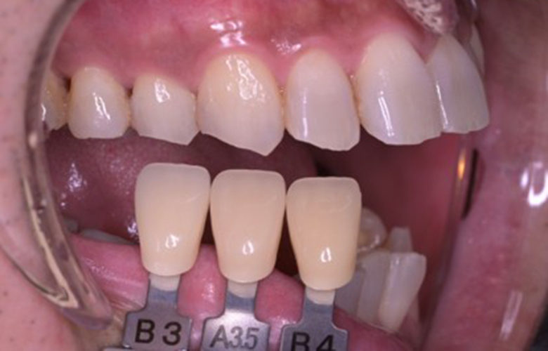
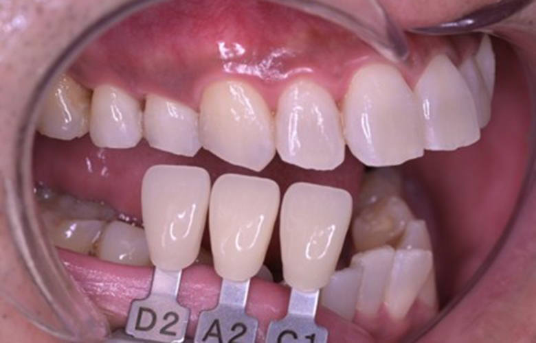
拝見したところ、ご相談の通り色味に関しては、シェードガイド(色見本)で確認したところ、暗めの色味であることが分かりました。但し、他院で行ったホワイトニングの術前の色味を確認できないため、元の色が暗かった可能性もありました。 |
|
ご提案内容 |
患者さんのご要望に合わせて、ホワイトニング方法についてご案内しました。 |
|
術後経過/現在の状態 |
術後の経過は良好で、心配していた色の差も馴染む形で白くすることができました。白さにもご満足いただけました。現在はクリーニングで通院されています。 |
|
治療期間 |
1ヶ月半 |
|
治療回数 |
3回 |
|
治療費 |
66,000円(税込) |
|
治療のリスク |
・ホワイトニングの効果には個人差があります。 |
|
クリニックより |
「歯を白くしたい」という患者様は、近年非常に多くいらっしゃいます。ホワイトニングの認知度が高くなったことにより、性別問わず、皆さん笑った時や話される時に口元を綺麗に見せたいと思う方が増えたのではと思います。 |
武蔵小杉ネゴ歯科矯正歯科:https://nego-dental.com/
〒211-0063 神奈川県川崎市中原区小杉町3丁目1−1 ドレッセタワー武蔵小杉2F
電話:044-400-2107
交通アクセス
電車でお越しの方:東急東横線 武蔵小杉駅より徒歩3分


