「ここに来て本当によかった」

患者様一人ひとりに合った
最良の診療・サービスを誠意をもって提供する
大切な人に受けてもらいたい治療を

2025年11月1日

NEW OPEN!

診療時間
9:30〜13:15
14:30〜19:00

【最終受付】18:30
▲14:30〜18:00 最終受付17:30
休診日 日曜日・祝日


2025年11月1日

NEW OPEN!

     
診療時間
9:30〜13:15
14:30〜19:00

【最終受付】18:30
▲14:30〜18:00 最終受付17:30
休診日 日曜日・祝日

2026/3/31 電話回線復旧のお知らせ

本日15時過ぎより発生しておりました電話の不具合につきまして、現在は復旧し、通常通りご利用いただける状態となりました。
突然の不具合により、皆さまにはご不便・ご迷惑をおかけしましたこと、心よりお詫び申し上げます。
なお、明日以降は通常通りお電話でのご連絡が可能です。
引き続きどうぞよろしくお願い申し上げます。

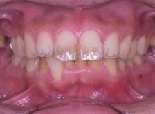
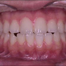
Concept

ずっと美味しく食べられる、
笑顔の毎日のために

補綴認定医×矯正歯科医
2人の歯科医師が各専門分野で連携し
様々な治療の選択肢をご提案します

武蔵小杉の歯医者、武蔵小杉ネゴ歯科矯正歯科 武蔵小杉の歯医者、武蔵小杉ネゴ歯科矯正歯科

7 FEATURES 武蔵小杉ネゴ歯科矯正歯科の 7つの特徴

01Precision

最新の精密医療設備による
安全で高精度な治療を実現

当院では、マイクロスコープや歯科用CT・セファロ、インプラントナビゲーションシステム、口腔内スキャナーなど、最新の医療設備を導入しています。
見えにくい部分まで正確に把握し、より安全で精度の高い治療が可能です。
複雑な根管治療やインプラント、矯正治療にも対応し、患者さまに安心と信頼をお届けします。

02Protect

天然歯をなるべく残す
高度な保存テクニック

大切な天然歯をできる限り残すことをモットーに、拡大視野下での精密な治療を行っています。
MTAセメントによる神経の保存や、ラバーダムを用いた細菌対策を徹底。さらに、歯冠長延長術(クラウンレングスニング)や矯正的挺出(エキストルージョン)といった高度な保存テクニックも駆使し、できるだけ歯を抜かない治療を提供しています。

03Specialist

専門分野の違う歯科医師により
多様な選択肢を提供

補綴と矯正、それぞれ専門分野を持つ2人の歯科医師が在籍。
専門性を活かした幅広い治療提案が可能です。患者様一人ひとりに合わせた最適な選択肢をご提供します。

04Counseling

丁寧な説明と
プライバシーに配慮した
安心の診療環境

初診時からカウンセリングを重視し、写真や資料を活用した丁寧で分かりやすい説明を徹底しています。
プライバシーに配慮し、個室診療室と2つのカウンセリングルームを完備。
個室診療室はオペ室としても使用可能で、周囲を気にせず安心して治療に専念できる環境を整えています。


05Supporting

患者様負担を軽減する
丁寧な治療と工夫で
一人ひとりに寄り添った診療を

患者様の精神的負担を減らすため、歯科医院安心セットをご用意。
不安な点はじっくり伺い、無理に治療を進めることはありません。
金銭面のご不安にも配慮し、デンタルローンもご利用いただけます。

06Supporting

忙しいパパママを応援
無料託児サービス
&短期集中治療

小さなお子様連れでも安心して通院できるよう、子ども専用の託児ルームを完備しています。
専属スタッフが安全に配慮し、お子様をお預かりします。
また、まとまった時間が取りにくい方のために、1回あたりの治療時間を長めに確保する「短期集中治療」にも対応。
仕事や育児で忙しい方の強い味方です。


07Sterilization

安心・安全の医療のために
徹底した衛生管理体制

当院では、院内感染予防のため、徹底した滅菌・消毒体制を整えています。
世界基準のクラスB滅菌器やタービン専用滅菌器、自動洗浄機、口腔外バキュームなどを導入。
治療器具は患者様ごとに滅菌し、使い捨て製品も適切に使用しています。快適で安心して通える環境づくりを、スタッフ全員で心がけています。

MENU さまざまなお悩みに対応します

EQUIPMENT

ナチュラルで落ち着く快適空間
精神的な負担の少ない
通いやすい歯科医院へ

RECRUIT

武蔵小杉で、
やりがいも、働きやすさも。

新卒の方、ブランクのある方も大歓迎!
ご応募お待ちしています。

武蔵小杉ネゴ歯科矯正歯科の求人情報

ごあいさつ

Message

みなさま、こんにちは。院長の根來大幹 (ねごろまさとし)です。
当院では 「出会えて本当によかったと思える歯科医院」を目指し、日々の診療に真摯に取り組んでいます。

私は大学卒業後、 「美味しく食事をすることは人生の大きな楽しみのひとつ」 と考え、 補綴治療 (入れ歯・被せ物・インプラント)を専門に学びました。
東京科学大学大学院にて、インプラントを併用した歯治療 インプラントオーバーデンチャー) に関する臨床研究を行い、 博士号を取得するとともに、 日本歯科補綴学会の認定医資格も取得しています。
その後、勤務医として多くの患者様と向き合う中で、 「長期的に美味しく食事をするためには、補綴治療だけでなく、歯周治療 根管治療 外科処置 マイクロスコープを活用した精密治療といった総合的な治療が欠かせない」と実感し、その考えのもと、 補綴だけにとどまらず、幅広い分野の技術・知識の習得に力を注いできました。

私たちは、部分的な診断ではなく 「お口全体を1つの単位として捉えること」 が、治療の成功とその後の健康維持にとって非常に大切だと考えています。
そのため、初診時には全体的な診査・診断を行い、治療計画を立てたうえで患者様としっかりと共有し、 ご納得いただいたうえで治療を進めてまいります。

また、 治療が終わった後も健康な状態を維持していただくために、リスク評価をもとに、エビデンスに基づいた適切なメインテナンス期間の設定を行っています。
これからもずっと美味しく食べられる、 笑顔の毎日」 のために、皆さま一人ひとりに寄り添った診療を提供してまいります。

ブログ

ブログ一覧

Blog

ブログ

ブログ一覧

 

PAGE TOP