20代男性 オフィスホワイトニングで明るい口元を目指した症例
|
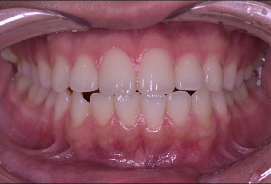
治療前 ![]() |
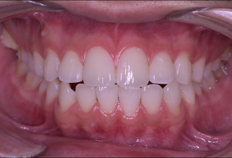
治療後 ![]() |
|
年齢性別 |
22歳、男性 |
|
相談内容 |
歯を白くしたいとのことで来院されました。 |
|
カウンセリング・診断結果 |
拝見し、シェードガイド(色見本)で確認したところ、黄ばみがあり暗めの色味であることが分かりました。 |
|
ご提案内容 |
患者さんのご要望に合わせて、ホワイトニング方法についてご案内しました。 |
|
術後経過/現在の状態 |
術後の経過は良好で、白さにとてもご満足いただけました。 |
|
治療期間 |
1ヶ月半 |
|
治療回数 |
3回 |
|
治療費 |
66,000円(税込) |
|
治療のリスク |
・ホワイトニングの効果には個人差があります。 |
|
クリニックより |
「歯を白くしたい」という患者様は、近年非常に多くいらっしゃいます。 |
武蔵小杉ネゴ歯科矯正歯科:https://nego-dental.com/
〒211-0063 神奈川県川崎市中原区小杉町3丁目1−1 ドレッセタワー武蔵小杉2F
電話:044-400-2107
交通アクセス
電車でお越しの方:東急東横線 武蔵小杉駅より徒歩3分


