【症例】32歳男性 「定期検診希望、歯の色が気になる」 エアフローで着色を除去した症例
2025/12/27
|
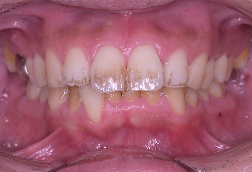
治療前 ![]() |
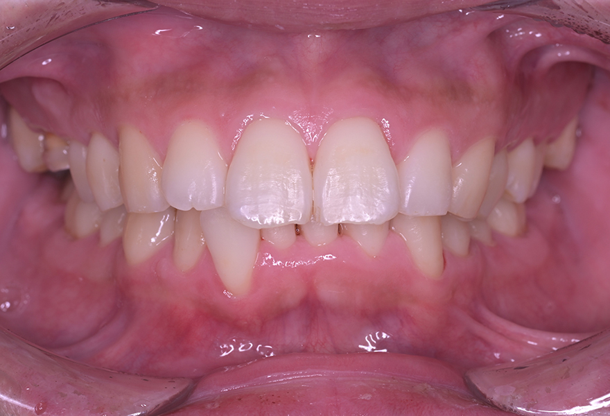
治療後 ![]() |
|
年齢性別 |
32歳・男性 |
|
相談内容 |
定期検診希望、歯の色をきれいにしたいと来院されました。数年歯医者に受診しておらず、全体的な汚れと歯の色が気になっていたそうです。 |
|
カウンセリング・診断結果 |
拝見したところ、ご相談の通りに着色が全顎的にありましたが、歯の表面全体にステインの付着が強く、まずはホワイトニングではなくエアフローで除去を行うことで本来の歯の白さを取り戻せる状態でした。。 |
|
ご提案内容 |
縁上スケーリングのみでクリーニングすることも可能でしたが、その場合はステインが除去できないことをご説明し、今回歯の色も白くしたいとのご希望があったため、エアフローも併せて行うことになりました。 |
|
術後経過/現在の状態 |
術後の経過は良好で、現在は定期的に通院されています。 |
|
治療期間 |
2週間 |
|
治療回数 |
2回(初回は診査を行います) |
|
治療費 |
エアフロー1回5,500円(税込) |
|
治療のリスク |
・知覚過敏がある場合、しみる可能性があります。 |
|
クリニックより |
「歯の色が気になる」というお悩みは、近年非常に多いご相談の一つです。 |
武蔵小杉ネゴ歯科矯正歯科:https://nego-dental.com/
〒211-0063 神奈川県川崎市中原区小杉町3丁目1−1 ドレッセタワー武蔵小杉2F
電話:044-400-2107
交通アクセス
電車でお越しの方:東急東横線 武蔵小杉駅より徒歩3分


