【武蔵小杉の歯医者が解説】歯にものが挟まりやすい方へ|原因・治療法・放置リスクまで徹底解説
武蔵小杉駅から徒歩3分、武蔵小杉ネゴ歯科矯正歯科です。
「食事のたびに歯に物が挟まる」
「フロスが毎回同じところで引っかかる」
「最近、歯に挟まることが増えた気がする」
このようなお悩みで、武蔵小杉エリアからも多くの患者さまがご相談に来られています。
歯に物が挟まる状態は、単なる不快感ではなく、むし歯・歯周病・被せ物の不具合・噛み合わせ異常などのサインであることが非常に多い症状です。
放置すると、将来的に歯を失う原因になることもあります。
今回は、武蔵小杉の歯医者が、歯にものが挟まりやすい原因・治療法・放置するリスク・ご自宅でできる対策まで、わかりやすく解説します。
歯にものが挟まりやすいのは「年齢のせい」ではありません
健康な歯・歯ぐき・噛み合わせであれば、毎回のように歯にものが挟まることは本来あまり起こりません。
次のような症状がある方は、歯科的な異常が隠れている可能性があります。
毎回同じ場所に挟まる
挟まった後に痛みが出る
歯ぐきが腫れる・出血する
口臭が気になるようになった
フロスがよく切れる、引っかかる
これらは「食片圧入(しょくへんあつにゅう)」と呼ばれる状態で、早めの診断と治療が重要です。
歯にものが挟まる主な原因【歯科医師が詳しく解説】
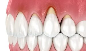
① 歯周病による歯ぐき下がり(最も多い原因)
歯周病が進行すると歯ぐきが下がり、歯と歯の間にすき間(ブラックトライアングル)ができ、そこに食べ物が詰まりやすくなります。
特に30代以降では、自覚症状のないまま歯周病が進行している方が非常に多く、「歯に物が挟まるから受診したら歯周病だった」というケースは珍しくありません。
② 詰め物・被せ物が合っていない
古い銀歯や樹脂の詰め物は、時間とともに劣化し、わずかな段差やすき間が生じ、そこに食べ物が入り込む原因になります。 次のような方は要注意です。銀歯を入れて10年以上経過している
被せ物のフチに引っかかりを感じる
フロスがその部分だけよく切れる
この場合、被せ物の作り直しだけで大きく改善するケースが多くあります。
③ むし歯で歯の形が変わっている
歯と歯の間のむし歯は見えにくく、気付かないうちに進行し、歯の形が欠けて初めて「挟まりやすくなった」と感じることが多いです。
最近急に挟まるようになったという方は、むし歯が原因の可能性も高いため、早めの受診をおすすめします。
④ 歯並び・噛み合わせの乱れ
噛み合わせがズレていると、特定の歯に強い力が集中し、歯がわずかに動いて歯間が広がることがあります。
この場合は、詰め物の調整だけでなく、噛み合わせ治療や矯正治療が必要になるケースもあります。
⑤ 加齢による自然な変化
年齢とともに歯は少しずつすり減り、歯ぐきも下がっていきます。
その結果、若い頃は挟まらなかった場所に物が詰まりやすくなることも珍しくありません。
歯にものが挟まる状態を放置すると起こるリスク
歯に食べ物が挟まる状態を放置していると、次のようなトラブルにつながります。
むし歯の進行
歯周病の悪化
歯ぐきの腫れ・出血・膿
口臭の悪化
重度になると抜歯が必要になることも
毎回つまようじで取っている方は、歯ぐきを傷つけ、歯周病をさらに悪化させてしまうリスクも高いため注意が必要です。
武蔵小杉ネゴ歯科矯正歯科で行う治療
当院では、原因を正確に診断したうえで、患者さま一人ひとりに合わせた治療を行っています。
歯周病が原因の場合
歯石除去(スケーリング)
歯周ポケットの洗浄
必要に応じた歯周外科治療
歯ぐきの炎症が改善するだけで、挟まりにくくなるケースも多くあります。
詰め物・被せ物が原因の場合
詰め物・被せ物の再作製
セラミックなど精度の高い素材への交換
適合精度の高い補綴物にすることで、食片圧入は大幅に改善することが可能です。
むし歯が原因の場合
むし歯の除去
適切な詰め物・被せ物による修復
早期発見であれば、短期間・少ない負担で治療が可能です。
噛み合わせが原因の場合
噛み合わせ調整
必要に応じて矯正治療のご提案
当院は矯正歯科も併設しており、将来まで見据えた根本治療が可能です。
ご自宅でできる予防とセルフケア
爪楊枝ではなく、デンタルフロス・歯間ブラシを使用
片側だけで噛む癖を避ける
数か月に1回の定期検診を受ける
予防と早期発見が、将来の抜歯リスクを大きく下げます。
歯にものが挟まりやすい方は、早めの受診をおすすめします
歯にものが挟まる症状の多くは、むし歯、歯周病、被せ物の不具合、噛み合わせの問題など、必ず何らかの原因があります。
「挟まるのが当たり前になっている」
「しばらく歯医者に行っていない」
という方こそ、ぜひ一度ご相談ください。
まとめ|歯にものが挟まる原因と治療
主な原因
歯周病、被せ物の不適合、むし歯、歯並び、噛み合わせ
放置すると
むし歯、歯周病、口臭、抜歯のリスクが高まる
原因に応じた治療で多くの場合改善可能
フロス+定期検診が最大の予防策
【武蔵小杉で歯にものが挟まってお困りの方へ】
武蔵小杉ネゴ歯科矯正歯科では、
精密検査
原因に応じたオーダーメイド治療
再発しにくい予防管理
まで、トータルでサポートしています。
「歯に物が挟まって気になる」
「原因をしっかり調べてほしい」
という方は、どうぞお気軽にご相談ください。
武蔵小杉ネゴ歯科矯正歯科:https://nego-dental.com/
〒211-0063 神奈川県川崎市中原区小杉町3丁目1−1 ドレッセタワー武蔵小杉2F
電話:044-400-2107
交通アクセス
電車でお越しの方:東急東横線 武蔵小杉駅より徒歩3分
